All-On-4 Dental Implants Anaheim CA

20% OFF*
All-On-4 Full
Mouth Implants

Replace an entire arch of
teeth with just four implants.
Claim This Special Offer Today!

Unlock your best
Smile with this offer

Guaranteed Check Replace an entire arch with only four implants

Guaranteed Check Cost-effective, durable, and natural-looking

Guaranteed Check We offer affordable payment options

Restore Your Full Smile with
All-On-4 Dental Implants

Restore Your Full
Smile
Today!

View our Privacy Policy
All-On-4 Dental Implants Benefits Long Beach CA
Affordable All-On-4 Full Mouth Implants in Long Beach CA
All-On-4 Implants Smile Restoration in Long Beach CA

All-On-4 is the longest lasting and most comfortable full-mouth tooth replacement solution

Benefits include

  • Replace an entire arch with just four implants
  • Cost-effective long-term compared to traditional implants
  • Durable, secure fit that won't slip like dentures
  • Eat, chew, and speak comfortably and naturally
  • Prevents bone loss and maintains jaw structure
  • Aesthetically pleasing, natural-looking smile restoration
Book Now

What Are All-On-4 Dental Implants?

If you are missing all the teeth in your mouth or on one of your arches, All-On-4 dental implants may be the right option for you. This cost-effective dental solution is also ideal for patients who have already undergone some bone resorption. To determine if All-On-4 dental implants can benefit you, Dentist of Anaheim will perform a thorough examination that includes diagnostic testing.

Do All-On-4 Implants Feel Natural?

Yes! Unlike traditional dentures, All-On-4 does not put pressure on the gums. Patients who receive All-On-4 dental implants can resume their normal activities -- eating, chewing, and speaking with ease and confidence. Instead of replacing each individual missing tooth, All-On-4 implants replace an entire arch of teeth with a secure, durable fit.

Book Now
What Are All-On-4 Dental Implants Long Beach CA
All-On-4 Dental Implant Dentist in Long Beach CA
Full Mouth Implant Restoration in Long Beach CA
Traditional Dental Implants Long Beach CA
Single Tooth Dental Implant Dentist in Long Beach CA
Titanium Dental Implant Treatment in Long Beach CA

Traditional Dental Implants

If you're only missing one or a few teeth, a traditional dental implant may be the right choice for you. A single implant consists of three parts: a metal post (usually titanium), an abutment, and a dental prosthesis such as a crown or bridge. The post is carefully positioned in the jawbone, and once healed, the abutment and prosthesis are attached -- giving you a tooth that looks and functions just like a natural one.

Why Choose Dental Implants?

  • Implants feel strong and secure
  • Stop existing teeth from shifting
  • Prevents bone loss, a major cause of premature aging
  • Easy to clean and care for
Book Now

Is All-On-4 Right for You?

All-On-4 is an excellent option for patients who are missing all the teeth on one or both arches, or who are struggling with loose, uncomfortable dentures. It's also a great solution for patients who have experienced bone resorption and may not be candidates for individual implants.

You may be a good candidate if you:

  • Are missing most or all of your teeth on an arch
  • Are tired of uncomfortable or slipping dentures
  • Want a permanent solution instead of removable dentures
  • Have experienced some bone loss
  • Are in generally good oral and overall health
Book Now
All-On-4 Implant Candidate Long Beach CA
All-On-4 Dental Implant Consultation in Long Beach CA
Full Arch Implant Evaluation in Long Beach CA
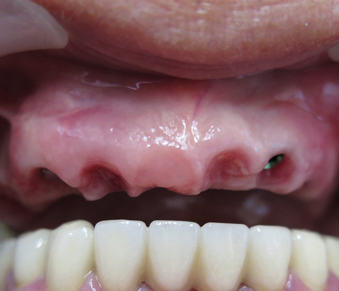
All-On-4 Dental Implant Procedure Long Beach CA
All-On-4 Implant Recovery in Long Beach CA
Sedation Dentistry for All-On-4 in Long Beach CA

The Procedure & Recovery

Typically, patients are either mildly or fully sedated during their All-On-4 dental implant procedure for maximum comfort. We offer multiple sedation options tailored to your needs, so you can relax while our experienced team handles everything.

After the procedure, you might experience slight discomfort, soreness, or swelling -- but most symptoms resolve within a week. Common anti-inflammatory medications can help ease any discomfort in the meantime. Most patients are back to normal activities very quickly.

What to expect:

  • Sedation options for a comfortable experience
  • Minimal downtime -- most symptoms resolve in a week
  • 3D imaging and CT scanning for precise placement
  • Follow-up care to ensure proper healing
Book Now

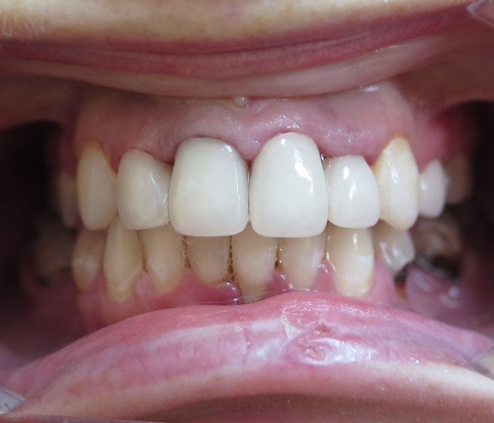
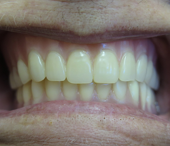
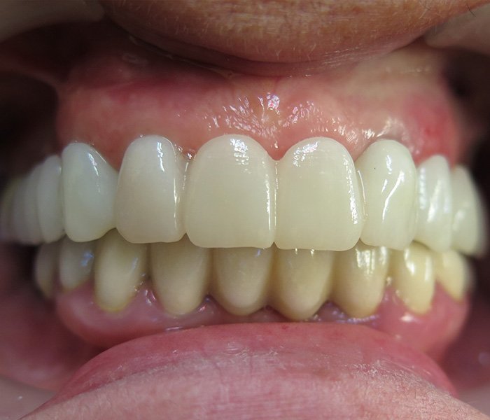
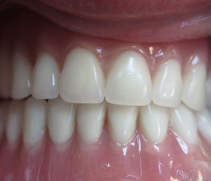
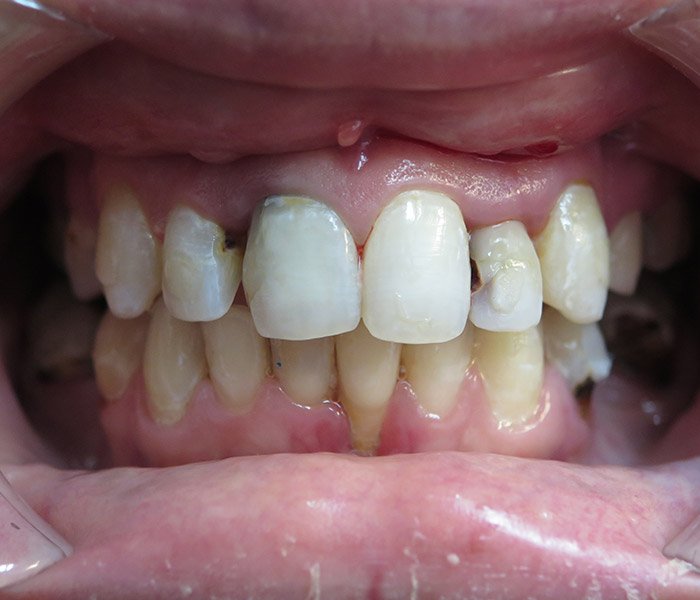
Incredible Results -
Before & After

Dental Implant Before 1 Seperator Mobile Seperator Dental Implant After 1
Dental Implant Before 2 Seperator Mobile Seperator Dental Implant After 2
Dental Implant Before 3 Seperator Mobile Seperator Dental Implant After 3
Dental Implant Before 4 Seperator Mobile Seperator Dental Implant After 4
Dental Implant Before 5 Seperator Mobile Seperator Dental Implant After 5
Dental Implant Before 6 Seperator Mobile Seperator Dental Implant After 6
Previous Button Next Button
Care Dentistry Group Care Dentistry Group

What are they saying about
Dentist of Anaheim

Quotation Marks

The beginning to good health!

"I will certainly recommend Dr. Hamid to fulfill your needs, whatever your needs are.

Anne

Why Choose Dentist of Anaheim?

Technology

Latest and most modern technology available

Comfort

World-Class Office Setting

Payment

Affordable payment options

Treatment

Same day treatment

Highest quality materials

USA-made titanium models

Incredible Staff

Highly qualified and friendly

Dr. Hamid Barkhordar

Restored the smiles of thousands of patients

Hamid Barkhordar, DDS

Dr. Hamid Barkhordar has helped thousands of patients restore their smiles. His experience, friendly demeanor, and high-quality care will have you smiling again in no time.

Hamid Barkhordar, DDS

We provide multiple sedation options to keep you comfortable during your treatment

We offer affordable payment options and work with financing partners so you can get the care you need at an affordable price

We utilize only the highest quality materials and technology

Care Dentistry Group Care Dentistry Group

20% OFF*

All-On-4 Full Mouth
Dental Implants

Call us at (714) 410-5465

Book your Appointment Now!

*Discount applies to full All-On-4 treatment. Cannot be combined with other offers. Financing available through approved partners.